Perdre plusieurs dents peut avoir un impact significatif sur votre qualité de vie, votre confiance et votre bien-être.
Heureusement, les avancées dans le domaine de l’implantologie offrent des solutions efficaces pour restaurer votre sourire et votre fonction masticatoire.
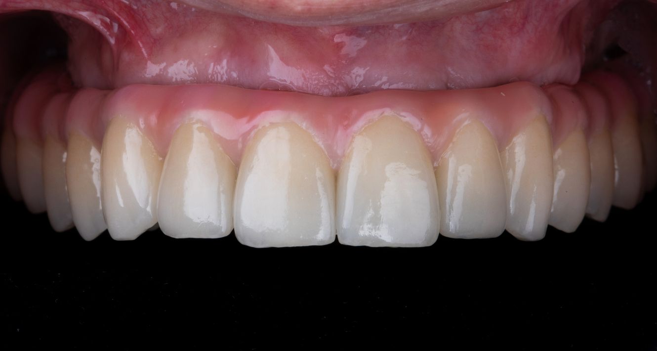
Dans cet article, nous allons explorer en détail les différentes options implantaires disponibles pour les patients ayant perdu plusieurs dents, notamment les bridges implantaires et les prothèses complètes sur implants.
Les Bridges Implantaires : Lien naturel et solide
Les bridges implantaires sont une solution populaire pour remplacer plusieurs dents manquantes. Contrairement aux bridges traditionnels, les bridges implantaires sont fixés de manière permanente à des implants dentaires insérés dans la mâchoire. Cela crée une stabilité et une durabilité comparables à des dents naturelles.
Les avantages des bridges implantaires :
– Restauration d’un sourire complet et naturel.
– Amélioration de la fonction masticatoire, permettant de manger confortablement divers aliments.
– Préservation de la structure osseuse et du positionnement des dents avoisinantes.
Les prothèses complètes sur Implants : une stabilité renouvelée
Les prothèses sur implants, également appelées prothèses complètes fixes ou amovibles sur implants, offrent une alternative sécurisée aux prothèses traditionnelles. Ces prothèses sont fixées sur des implants dentaires, ce qui les rend stables et élimine les problèmes de glissement ou de gêne associés aux prothèses complètes classiques.
Les avantages des prothèses sur implants :
– Stabilité accrue et réduction du mouvement ou de l’inconfort.
– Plus de prothèses amovibles, améliorant ainsi le confort et le pouvoir de mastication.
– Renforcement de la structure osseuse en stimulant la mâchoire.
Le choix entre un bridge implantaire et une prothèse sur implants dépendra de plusieurs facteurs, notamment le nombre de dents manquantes, l’état de vos gencives et de votre mâchoire, votre capacité financière ainsi que vos préférences personnelles. Votre dentiste implantologue évaluera votre situation et vous guidera vers la solution la mieux adaptée à vos besoins.
La perte de plusieurs dents n’est pas une fatalité, grâce aux options avancées de l’implantologie dentaire. Que vous choisissiez un bridge implantaire ou une prothèse sur implants, ces solutions vous permettent de retrouver un sourire complet, de manger confortablement et d’avoir à nouveau confiance en vous.
Prenez rendez-vous avec votre dentiste pour discuter de ces options et retrouver la joie d’un sourire éclatant et fonctionnel. N’oubliez pas, chaque sourire est unique et mérite une solution personnalisée pour un résultat optimal.
Si vous avez des questions ou souhaitez explorer davantage ces options, n’hésitez pas à nous contacter. Nous sommes ici pour vous aider à retrouver votre sourire et votre qualité de vie.
Prenez soin de votre sourire et de vous-même, Cabinet dentaire Plana
